前歯の一本だけが表に出ていて気になる部分的にデコボコで気になるけど矯正の相談に行ったら歯を抜いて何十万円もの費用が掛かると言われた。
と悩んで歯並びが悪いままの方が多いと思います。
一般的な矯正ですと、ワイヤーをつけて2~3年かかる場合が多いのではないでしょうか?
長い間ワイヤーをつけるのは嫌だなぁ~
前歯の見えるところだけきれいにしたいなぁ~
このような患者様におすすめいたします!!
・費用が70~100万円と高い
・痛みがでる
・装置が壊れるので硬いものとか食べられない
・治療期間が長い
・費用はリーズナブルに治すことができる
・痛みなく治療できる
・ズレの程度によるが、最低6か月ぐらいで終わる場合もあります。
ただし、歯と顎のズレの程度により、矯正できない場合もあります。
適応かどうかは、検査するので、お気軽にご相談ください。
											
											
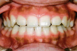
											主訴が上の前歯の出っ張りを治して欲しいということで 下は治療していません。 
スペース不足があり、上の歯を拡大しました。
もちろん、歯は抜いていません。
動的期間は8か月です。 
費用は 
矯正診断料35,000円 
上顎拡大(1回分)75,000円 
リテーナー(保定装置)40,000円 
トータル約150,000円です。(毎月調整料で2,000円別にかかります)
このような歯並びを治したいという方は多いです。
歯列不正は人それぞれ千差万別で、 歯を並べるのに必要な拡大量も人により違うため 矯正装置も1装置で済む方もいれば、2装置必要な 方もいます。
この方の場合、1装置で済みましたが、もし2装置必要でも +40,000円の追加で済むのでリーズナブルに矯正治療を 受けることができます。
一般的な矯正歯科ではトータルで70~100万円が多いと思いますが スマイル歯科クリニックでは1装置ごとの料金体系となっており、 軽度なズレであれば、低価格で治すことも可能です。 
もしもズレの程度が大きくて、何装置も必要なケースでも一般的な矯正の 半額ぐらいで治すことは可能ですので安心してください。
| 診療時間 | 月 | 火 | 水 | 木 | 金 | 土 | 日 | 祝 | 
| 10:00~13:00 | ● | ● | ● | ● | ● | ● | / | / | 
| 14:00~19:30 | ● | ● | ● | ● | ● | ▲ | / | / | 
※土曜日は矯正治療専用日となっており、一般の治療は平日のみとなります。
矯正治療は土曜日のみではなく平日もおこなっております。
▲   14:00~17:00
休診日 木曜日隔週・日曜日・祝日
															※土曜日は矯正治療専用日となっており、一般の治療は平日のみとなります。
矯正治療は土曜日のみではなく平日もおこなっております。
▲   14:00~17:00
休診日 木曜日隔週・日曜日・祝日